赛诺特生物

郑州市肿瘤病理精准诊断院士工作站

郑州市病理诊断工程技术研究中心

河南省肿瘤病理诊断试剂工程技术研究中心

你的当前位置:
  • 术中快速冰冻免疫组化
  • 术中快速冰冻免疫组化

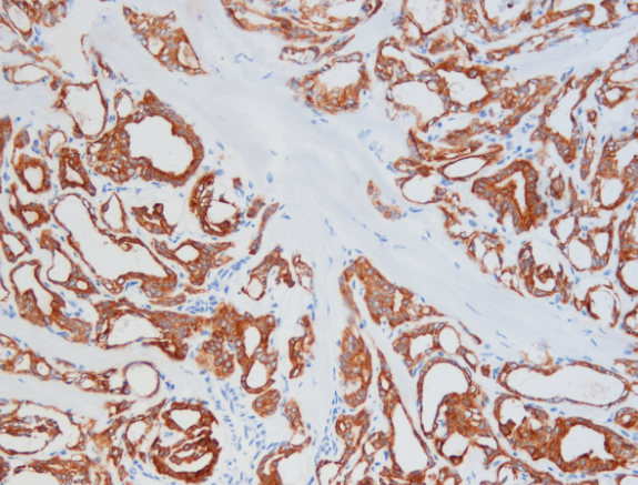
    术中快速PolyStackerPlus 免疫组化检测试剂盒专为术中冰冻免疫组化检测技术定制,可用于鼠源或兔源抗体的显色检测。产品核心技术在美国赛诺特团队自主开发的“MicroStacker™微聚合物层叠法”的基础上,增加了过氧化物酶自主聚合("Poly-HRP")程序,开发出新一代多聚酶偶联化学“PolyStacker™”,进一步提升了聚合物的灵敏度和特异性,从而实现了术中快速精准的免疫组化染色。


    • ¥0.00
      ¥0.00
商品描述

术中快速PolyStackerPlus 免疫组化检测试剂盒专为术中冰冻免疫组化检测技术定制,可用于鼠源或兔源抗体的显色检测。产品核心技术在美国赛诺特团队自主开发的“MicroStacker™微聚合物层叠法”的基础上,增加了过氧化物酶自主聚合("Poly-HRP")程序,开发出新一代多聚酶偶联化学“PolyStacker™”,进一步提升了聚合物的灵敏度和特异性,从而实现了术中快速精准的免疫组化染色。