赛诺特生物

郑州市肿瘤病理精准诊断院士工作站

郑州市病理诊断工程技术研究中心

河南省肿瘤病理诊断试剂工程技术研究中心

你的当前位置:
  • 骨髓小巨核细胞产品
  • 骨髓小巨核细胞产品

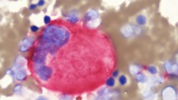
    骨髓小巨核细胞是一种发育成熟障碍的病态巨核细胞,见于多种血液病,是骨髓病态造血的特征。常规瑞氏染色后,光镜下易与淋巴细胞、幼稚红细胞等相混淆,造成疾病的漏诊或误诊。用免疫细胞化学染色的方法,可以提高骨髓小巨核细胞的检出率,更具有诊断价值。


    • ¥0.00
      ¥0.00
商品描述

骨髓小巨核细胞是一种发育成熟障碍的病态巨核细胞,见于多种血液病,是骨髓病态造血的特征。常规瑞氏染色后,光镜下易与淋巴细胞、幼稚红细胞等相混淆,造成疾病的漏诊或误诊。用免疫细胞化学染色的方法,可以提高骨髓小巨核细胞的检出率,更具有诊断价值。