赛诺特生物

郑州市肿瘤病理精准诊断院士工作站

郑州市病理诊断工程技术研究中心

河南省肿瘤病理诊断试剂工程技术研究中心

你的当前位置:
  • Alpha-1Antitrypsin(AAT)兔抗人a-1-抗胰蛋白酶多克隆抗体
  • Alpha-1Antitrypsin(AAT)兔抗人a-1-抗胰蛋白酶多克隆抗体

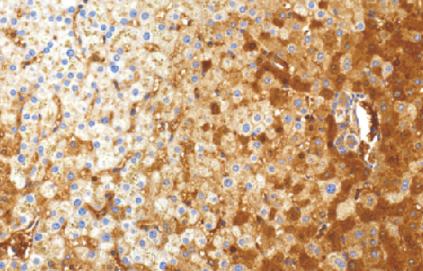
    a-1- antitrypsin 在肝脏中合成,存在于血清和组织液中作为蛋白酶抑制因子,特别是具有弹性蛋白酶的抑制作用。主要作用表现为在炎症反应中中和中性粒细胞释放的弹性蛋白酶。a-1-antitrypsir缺乏可能导致肺等无法抑制弹性蛋白酶诱导的组织破坏。a-1antitrypsin 缺乏与全腺泡型肺气肿和肝病有关。在肝脏中,a-1antitrypsin 缺乏可能引发新生儿肝炎或者在少年期或成人期某些个体出现肝硬化。
    • ¥0.00
      ¥0.00
商品描述
a-1- antitrypsin 在肝脏中合成,存在于血清和组织液中作为蛋白酶抑制因子,特别是具有弹性蛋白酶的抑制作用。主要作用表现为在炎症反应中中和中性粒细胞释放的弹性蛋白酶。a-1-antitrypsir缺乏可能导致肺等无法抑制弹性蛋白酶诱导的组织破坏。a-1antitrypsin 缺乏与全腺泡型肺气肿和肝病有关。在肝脏中,a-1antitrypsin 缺乏可能引发新生儿肝炎或者在少年期或成人期某些个体出现肝硬化。
CAR-0110
多克隆
胞质
石蜡切片 /冰冻切片
热修复