登录
|
注册
English
简体中文
English
简体中文
设为首页
≡
加入收藏
赛诺特生物
郑州市肿瘤病理精准诊断院士工作站
郑州市病理诊断工程技术研究中心
河南省肿瘤病理诊断试剂工程技术研究中心
网站首页
走进赛诺特
赛诺特历程
博士后工作站
社会责任
企业荣誉
产品中心
自研仪器
免疫组织化学产品
免疫组化抗体
免疫组化仪器
冰冻免疫组化
多色免疫组化
辅助用品
免疫显色试剂
免疫细胞化学产品
p16/Ki-67免疫细胞化学双染
全自动液基细胞免疫化学染色仪
p16/Ki-67细胞变色双染
分子病理产品
Super-ISH™超级原位杂交平台
FISH荧光原位杂交平台
原位杂交仪
组织染色产品
HE染色液
特殊染色液
特检产品
遗传学细胞培养
结核培养及鉴定
骨髓小巨核细胞
科研产品
MicroStacker多聚二抗
多重荧光免疫组化
新闻中心
会议预告
服务与支持
技术支持
客户服务
优秀染色图片
常规IHC
冰冻IHC
多色IHC
CISH
HE特殊染色
多重荧光免疫组化
质检证书
联系我们
留言咨询
诚聘英才
你的当前位置:
网站首页
>>
免疫组织化学产品
>>
免疫组织化学抗体
>>
Alpha-Fetoprotein(AFP)兔抗人甲胎蛋白单克隆抗体
搜索
名称
描述
内容
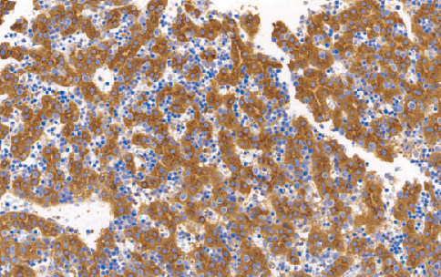
Alpha-Fetoprotein(AFP)兔抗人甲胎蛋白单克隆抗体
AFP是由胚胎卵黄囊内胚层细胞、胎儿肝细胞及其肠道细胞台成的种糖蛋白。此抗体可标记卵黄囊瘤等生殖细胞肿瘤和25%-50%左右的肝细胞癌。在肝癌的诊断中敏感性较低,但特异性高。
价格:
¥0.00
市场价:
¥0.00
货号
克隆号
阳性部位
适用组织
预处理
商品描述
AFP是由胚胎卵黄囊内胚层细胞、胎儿肝细胞及其肠道细胞台成的种糖蛋白。此抗体可标记卵黄囊瘤等生殖细胞肿瘤和25%-50%左右的肝细胞癌。在肝癌的诊断中敏感性较低,但特异性高。
CAR-0181
EP209
胞质
石蜡切片
热修复
自研仪器
免疫组化仪器
组织染色仪器
免疫细胞仪器
免疫组织化学产品
免疫组织化学抗体
免疫显色试剂
辅助试剂
术中快速冰冻免疫组化
多色免疫组化
免疫细胞化学产品
CNT480全自动液基细胞免疫化学染色仪
p16/Ki-67免疫细胞双染
分子病理产品
Super-ISH™超级原位杂交平台
FISH荧光原位杂交平台
原位杂交仪
组织染色产品
常规病理染色产品
特殊染色产品
特检产品
遗传学细胞培养
结核培养及鉴定
骨髓小巨核细胞
辅助用品
优秀染色图片
常规IHC
冰冻IHC
多色IHC
HE特殊染色
CISH
FISH
多重荧光免疫组化
新品发布
3