赛诺特生物

郑州市肿瘤病理精准诊断院士工作站

郑州市病理诊断工程技术研究中心

河南省肿瘤病理诊断试剂工程技术研究中心

你的当前位置:
  • CD31(PECAM-1)
  • CD31(PECAM-1)

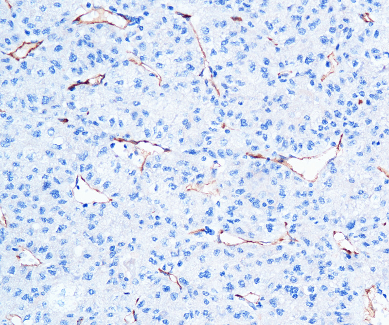
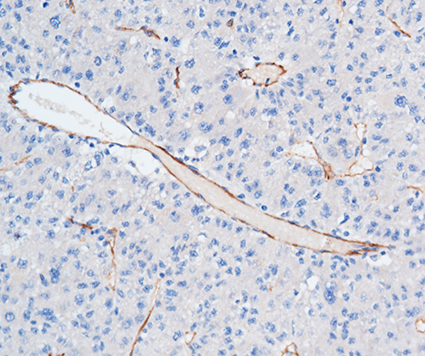
    CD31主要标记单核细胞,颗料细胞,内皮细胞和某些T细胞,主要用于良恶性血管源性肿瘤的诊断和鉴别诊断,亦可用于各种肿瘤间质中血管生成的研究。

    • ¥0.00
      ¥0.00
商品描述

CD31主要标记单核细胞,颗料细胞,内皮细胞和某些T细胞,主要用于良恶性血管源性肿瘤的诊断和鉴别诊断,亦可用于各种肿瘤间质中血管生成的研究。


C9E25
石蜡切片
胞质,胞膜
热修复