赛诺特生物

郑州市肿瘤病理精准诊断院士工作站

郑州市病理诊断工程技术研究中心

河南省肿瘤病理诊断试剂工程技术研究中心

你的当前位置:
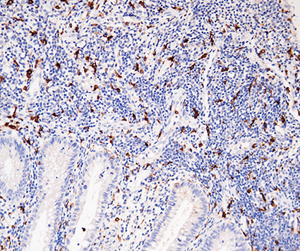
  • CD163
  • CD163

    CD163分子是I型膜蛋白,也称为MI130抗原,Ber-Mac3、Ki-M8或SM4。CD163蛋白表达限于单核细胞/巨噬细胞系。据报道,CD163蛋白表达在所有循环血单细胞和大多数组织(除淋巴滤泡套区与生发中心)的巨噬细胞、指突状网状细胞与朗格汉斯细胞中,此外,炎性病变的多枋细胞不表达CD163蛋白。CD163蛋白通过糖皮质激素上调,通过免疫抑制剂环孢素A佛波醇酯(phorbolester)下调,而脂多糖为炎症介质,对表达没有影响。人单核细胞可溶性CD163抗原特异性释放机制可能在调节炎症过程中起重要作用。

    • ¥0.00
      ¥0.00
商品描述

CD163分子是I型膜蛋白,也称为MI130抗原,Ber-Mac3、Ki-M8或SM4。CD163蛋白表达限于单核细胞/巨噬细胞系。据报道,CD163蛋白表达在所有循环血单细胞和大多数组织(除淋巴滤泡套区与生发中心)的巨噬细胞、指突状网状细胞与朗格汉斯细胞中,此外,炎性病变的多枋细胞不表达CD163蛋白。CD163蛋白通过糖皮质激素上调,通过免疫抑制剂环孢素A佛波醇酯(phorbolester)下调,而脂多糖为炎症介质,对表达没有影响。人单核细胞可溶性CD163抗原特异性释放机制可能在调节炎症过程中起重要作用。


10D6
石蜡切片
胞膜
热修复