赛诺特生物

郑州市肿瘤病理精准诊断院士工作站

郑州市病理诊断工程技术研究中心

河南省肿瘤病理诊断试剂工程技术研究中心

你的当前位置:
赛诺特最新研发免疫组化抗体发布(四)
来源: | 作者:cntscb2018 | 发布时间: 2019-02-11 | 4924 次浏览 | 分享到:
赛诺特最新研发免疫组化抗体发布



赛诺特抗体中心

  恭祝大家新年快乐!


CD56 (clone: C5A2)

背景介绍:

CD56属于细胞表面糖蛋白,是一种神经细胞黏附分子,也是NK细胞的标志物。在胚胎发生发育以及神经细胞的相互联系中发挥重要的作用。CD56在癌症侵袭性研究过程当中也具有重要的意义。其主要表达于神经元、星形细胞、施万细胞、NK细胞和小部分活化的T淋巴细胞。

临床应用:

CD56主要在肺小细胞癌、间皮瘤、类癌、胰岛细胞肿瘤、有神经内分泌分化的胰腺肿瘤、Merkel(梅克尔)细胞癌、肝细胞癌、部分肾细胞癌、部分卵巢癌、部分子宫内膜癌、甲状腺滤泡和乳头癌、神经母细胞瘤、神经节胶质瘤、少突神经细胞胶质瘤、视网膜母细胞癌、NK大颗粒淋巴细胞白血病、骨髓瘤和肝脏的窦组织细胞中有表达。

CD56在鼻咽癌、黑色素瘤、脑膜瘤、结肠癌、滤泡中心细胞淋巴瘤、毛细胞白血病和Ewing肉瘤中不表达。


IHC- P评价结果统计:



C5A2 VS 123C3.D5


附:C5A2同样具有极佳的抗原识别能力。


产品编号:CCM-0662

产品描述:鼠抗人CD56单克隆抗体

克隆号:C5A2

适用组织:石蜡切片

阳性部位:胞质/胞膜

修复方式:pH9.0热修复

产品提供规格:


注:6mL即用型规格与浓缩液规格可提供阳性对照片。

另:本品提供3mL即用型试用装30个,欢迎免费申请使用。





TdT(clone: C2C8)


景介绍:

TdT(Terminal Deoxynucleotidyl Transferase)即末端脱氧核糖核苷酸转移酶,是一种分子量为58KD的DNA聚合酶,分布在细胞核。TdT表达在正常胸腺和骨髓的原始T和B淋巴细胞中,在免疫系统成熟的过程中识别一级和二级淋巴器官中的TdT阳性细胞群。在一些白血病病患的白细胞中表现高度酶活性,具有重要的意义。

临床应用:

主要作为早期精确识别急性淋巴母细胞淋巴瘤,同时也应用在B型胸腺瘤的诊断当中。


IHC- P评价结果统计:



C2C8 VS SEN28


注:C2C8与SEN28的IHC比较,C2C8特异性明显优于SEN28。


产品编号:CTM-0132

产品描述:鼠抗人TdT单克隆抗体

克隆号:C2C8

适用组织:石蜡切片

阳性部位:胞核

修复方式:pH9.0热修复


产品提供规格:


注:6mL即用型规格与浓缩液规格可提供阳性对照片。

另:本品提供3mL即用型试用装30个,欢迎免费申请使用。



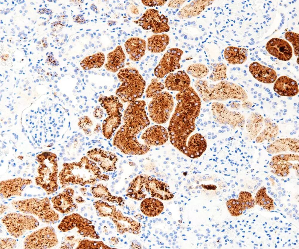
NapsinA(clone:  C2C2)


景介绍:

NapsinA在正常的肺泡上皮中具有特殊的功能,在表面活性剂前体的蛋白水解过程中起作用。NapsinA主要表达在II型肺泡细胞的板层小体,肺泡巨噬细胞的次级溶酶体、终末端细支气管和呼吸性细支气管的呼吸道上皮、浆细胞、一些肺正常淋巴细胞和正常肾脏肾小管上皮细胞中,在正常脾脏中微弱表达。

临床应用:

肺原发性腺癌的诊断,敏感性高于SP-A和SP-B。同时,NapsinA可用于卵巢透明细胞癌的鉴别诊断。


IHC- P评价结果统计:



C2C2 VS MRQ-60


注:C2C2与MRQ-60克隆号的NapsinA相比具有较好的特异性。


产品编号:CNM-0012

产品描述:鼠抗人NapsinA单克隆抗体

克隆号:C2C2

适用组织:石蜡切片

阳性部位:胞质

修复方式:pH9.0热修复

产品提供规格:


注:6mL即用型规格与浓缩液规格可提供阳性对照片。

另:本品提供3mL即用型试用装30个,欢迎免费申请使用。



CD5(clone:  C6A10)


景介绍:

CD5是一种糖蛋白,分子量67KD。CD5不仅是胸腺癌中重要的标记物,同时在许多T细胞白血病、淋巴瘤、活化T细胞和某些主要位于正常淋巴结套区的B细胞均有反应。除此以外,CD5抗原在急性T淋巴细胞白血病、部分慢性B淋巴细胞白血病以及B和T细胞淋巴瘤中均有表达。

临床应用:

T细胞白血病、T细胞淋巴瘤的辅助诊断。


IHC- P评价结果统计:



C6A10 VS GR020


注:C6A10与GR020具有极佳的一致性。


产品编号:CCM-0354

产品描述:鼠抗人CD5单克隆抗体

克隆号:C6A10

适用组织:石蜡切片

阳性部位:胞膜

修复方式:pH9.0热修复

产品提供规格:


注:6mL即用型规格与浓缩液规格可提供阳性对照片。

另:本品提供3mL即用型试用装30个,欢迎免费申请使用。



      新的一年,赛诺特抗体中心会将一如既往的重视自产抗体的研发工作,希望为市场、为用户提供更多高质量的免疫组化抗体,同时也感谢各位用户及朋友对赛诺特生物的大力支持,祝各位新年新气象、身体健康、万事如意!