赛诺特生物

郑州市肿瘤病理精准诊断院士工作站

郑州市病理诊断工程技术研究中心

河南省肿瘤病理诊断试剂工程技术研究中心

你的当前位置:
AB-PAS染色液
来源: | 作者:cntscb2018 | 发布时间: 2019-08-30 | 12730 次浏览 | 分享到:
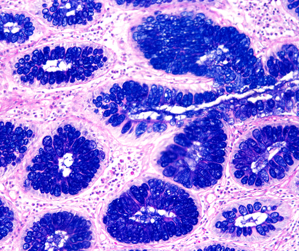
阿利新蓝和PAS技术联合使用可鉴别同一组织切片中的中性黏蛋白和酸性黏蛋白

产品应用:正常粘膜上皮细胞可分泌粘液,分为中性粘液和酸性粘液,在HE染色中两者无法区分,常用粘液物质染色来区分;在病理状态下,胃、肠、结缔组织、心肌、肾脏等器官,也可以出现粘液变性、粘液水肿、黏蛋白增多的现象,也需要粘液物质染色区分和证明;在一些肿瘤的诊断和研究中也常常需要粘液染色进行观察和鉴别。

检验原理:

阿利新蓝(又称阿尔辛蓝,AB)和过碘酸雪夫(PAS)技术联合使用可鉴别同一组织中的中性黏蛋白和酸性黏蛋白。爱先蓝是显示酸性粘液物质最特异的染料,这种阳离子染料与酸性基团形成盐键,也即阿利新蓝与组织内含有的阴离子基团如羧基和硫酸根形成不溶性复合物。分子中带正电荷的盐键与酸性黏蛋白多糖物质中带负电荷的酸性基团结合形成不溶性的复合物而呈蓝色,再于PAS进行复合染色,就能显示三种不同黏液物质成分。

试剂组成:

试剂组成

主要成分

爱先蓝染液

爱先蓝

高碘酸溶液

高碘酸

雪夫试剂

品红

苏木素染液

苏木素

 

染色结果:酸性粘液物质呈蓝色,中性粘液物质呈红色,混合粘液物质呈蓝紫色,细胞核呈浅蓝色。

 

产品特色

1.试剂稳定


2.颜色亮丽